Sparkling White Dental in Goondiwindi

Restore Your Confident Smile

Sparkling White Dental in Goondiwindi

At Sparkling White Dental, we understand the impact missing teeth can have on your confidence and quality of life. Dental implants offer a reliable and natural-looking solution for replacing missing teeth and restoring your smile’s look, feel, and function.

Whether you are missing a single tooth, need multiple dental implants, or require full-mouth dental implants, our experienced team can help restore your smile and confidence. You can say goodbye to the fear of dentures slipping or limiting your diet with implant-supported dentures. Dental implants offer a long-lasting solution, providing stability and comfort for years.

Considering dental implants? Book a free consultation for a second opinion with Sparkling White Dental. Our caring team will discuss the procedure, cost, and best dental implant option for you. Visit our friendly clinics across Queensland – whether you need a dentist in West End (Brisbane), Alexandra Hills dentist, or a dentist in Goondiwindi – we’re here to help you smile with confidence.

Advanced Solutions For Lasting Smiles

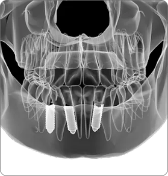
Respected amongst the community as a preferred dental implant clinic, Sparkling White Dental is committed to providing the best in dental implants. This includes using advanced technology throughout the dental implant procedure to ensure the best possible outcome for you.

During your initial consultation, we’ll assess your suitability for dental implants through our advanced CBCT (Cone Beam Computed Tomography) scan technology for guided implant procedures. This lets us get highly detailed 3D images of your jawbone, providing greater accuracy and precision than traditional X-rays. With CBCT, we can create a more customised plan for your dental implant journey.

Additionally, our practice incorporates laser dentistry, which offers a minimally invasive approach, lowers the risk of infection, and accelerates the recovery period. These advanced techniques are complemented by the proven efficacy of CGF (Concentrated Growth Factor). CGF involves extracting a small quantity of the patient’s own blood, isolating concentrated platelets through centrifugation, and promptly applying them to the treatment site. This procedure significantly expedites the healing process while minimising post-operative complications.

Schedule your appointment today and give your dental implants the best possible outcome through Sparkling White Dental.

Customised Dental Implant Solutions

Just like a fingerprint, every smile is unique. This is why our team offers a variety of dental implant options tailored to your specific needs, from standard treatments to solutions for more complex cases.

Dental implants offer a long-lasting solution to restore your smile when you’re missing one tooth or several. Our team ensures personalised care to make your experience comfortable and precise, whether you’re missing one tooth or multiple teeth. Using advanced techniques, we carefully place implants into the jawbone to replace missing tooth roots, providing stability and strength for a natural-looking result.
Full-mouth dental implants are a comprehensive solution for patients with extensive tooth loss, jawbone loss, or significant wear and tear. They involve replacing all the teeth in an arch. Using your CBCT scan results as a guide, we can determine the ideal number of implants needed per arch and their location, whether 4, 6, or x, tailored to your unique oral health condition.

Implant-retained dentures provide increased stability and security. By anchoring the dentures to implants surgically placed into the jawbone, we ensure a snug and comfortable fit that feels natural. Implant-retained dentures allow you to enjoy your favorite foods and catch up with friends without worrying about slipping or discomfort from ill-fitting dentures.

For patients with low bone mass in the upper jaw, sinus lift and crestal implant procedures provide effective solutions to support dental implants. A sinus lift involves lifting the sinus membrane and adding bone graft material to create sufficient bone volume for implant placement. These procedures ensure that patients with compromised bone structures can still benefit from dental implants’ stability, durability, and function.

Note: *Please note the results of this treatment may vary from patient to patient. Be sure to consult with your dentist for an individualised treatment. For more information and considerations, please refer here.

The Process

1. Initial Consultation

During your first appointment, we'll conduct a CBCT scan to determine whether dental implants are right for you. We'll also discuss how the procedure works, what choices you have, how much dental implants cost, and how you can pay for them.

2. Surgery

Our team uses special lasers and CBCT to help us during your surgery. This means you lose less blood, heal faster, and have a shorter overall recovery time. We also use CGF technology to help your bones heal and integrate better.

3. Healing Period

A healing period, known as osseointegration, occurs over 3-6 months as the implant integrates with the jawbone for stability.

4. Prosthetic Tooth Placement

After healing, the abutment and prosthetic tooth (crown) are placed, creating natural tooth function and appearance. We will also provide care instructions so your dental implants will last years.

5.Regular Follow-ups

Follow-up appointments ensure ongoing support, progress monitoring, and post-treatment care discussion for optimal dental health.

1. Initial Consultation

During your first appointment, we'll conduct a CBCT scan to determine whether dental implants are right for you. We'll also discuss how the procedure works, what choices you have, how much dental implants cost, and how you can pay for them.

2. Surgery

Our team uses special lasers and CBCT to help us during your surgery. This means you lose less blood, heal faster, and have a shorter overall recovery time. We also use CGF technology to help your bones heal and integrate better.

3. Healing Period

A healing period, known as osseointegration, occurs over 3-6 months as the implant integrates with the jawbone for stability.

4. Prosthetic Tooth Placement

After healing, the abutment and prosthetic tooth (crown) are placed, creating natural tooth function and appearance. We will also provide care instructions so your dental implants will last years.

5. Regular Follow-ups

Follow-up appointments ensure ongoing support, progress monitoring, and post-treatment care discussion for optimal dental health.

Why Choose Dental Implants?

With dental implants, you can enjoy the benefits of a permanent, natural-looking smile that feels comfortable and secure. Dental implants offer several advantages over other tooth replacement treatments. This includes:

Stability

Dental implants Osseo-integrate with the jawbone, providing a stable foundation for replacement teeth.

Confidence Boost

Implants restore your smile and confidence, allowing you to enjoy life without worrying about your teeth.

Natural Feel and Function

Implants retained teeth look like natural teeth, allowing for comfortable chewing and speaking.

Preservation of Bone Structure

Unlike dentures, implants stimulate the jawbone, preventing bone loss and preserving facial integrity.

Durability

With proper care, implants can last for years.

Cost of Dental Implants

Dental implants are an investment in your smile. However, we understand that the cost can be a deciding factor for patients considering them. At Sparkling White Dental, we offer flexible payment plans tailored to your needs, ensuring you can still access the care you deserve.

It’s important to remember that the final cost will vary depending on factors such as your oral health condition, the specific treatment required, any potential complications, and the number of implants needed.

Our compassionate team will work closely with you to discuss all options and find a solution that fits your budget while providing the highest-quality care. You can rest assured that our team supports you at every step of your dental implant journey.

after-pay
SuperCare Dentist
Humm
Department-of-Veterans-Affairs

Frequently Asked Questions

Dental implants are safe when performed by experienced professionals using high-quality materials and techniques.
Many people are candidates for dental implants. However, the best candidates are individuals with good oral health and enough jawbones to support the implant. Our experienced dental team will conduct a thorough assessment to determine your suitability for dental implants, considering factors such as gum health, bone density, and any underlying medical conditions.
Dental implants are designed to be a long-term solution for tooth replacement. With proper care and maintenance, they can last for years.
Caring for dental implants involves regular brushing, flossing, and check-ups, and once your implants have been fitted, we’ll provide detailed instructions tailored to your needs.
Yes! After getting dental implants, your implant should function like a normal tooth. This means you can eat normally and enjoy your favorite foods with newfound confidence and comfort.